bienvenue au CENTRE DE RADIOLOGIE IBN ROCHD d'OUJDA
bienvenue au CENTRE DE RADIOLOGIE IBN ROCHD d'OUJDA

Est un service médical spécialisé dans l'imagerie médicale.
Situé au cœur de la ville d'Oujda, le centre vous accueil pour l'ensemble de vos examens de radiologie :
- IRM haut champs 1.5 TESLA corps entier
- scanner multibarettes
- échographie et doppler
- radiographie numérique
- mammographie
- imagerie dentaire avec Conebeam
- ostéodensitométrie
- radiologie interventionnelle


Diplômé de la faculté de médecine de rabat
Diplôme de Formation Médicale Spécialisé en Radiodiagnostic de Paris
Ancien interne de l'Hôpital Saint-Antoine de Paris
Ancien résident du CHU de Rabat
Diplômé de la faculté de médecine de Tunis
Ancien résident du CHU de Tunis
Le rôle principal du radiologue est d’interpréter les images médicales pour aider votre médecin à établir son diagnostic et/ou en surveiller l’évolution, tout en contrôlant l’optimisation des doses et la qualité des examens radiologiques réalisés.

L’IRM est une technique permettant de réaliser des images en coupes du corps humain.
Elle étudie le mouvement des atomes d’hydrogène contenus dans le corps, placés dans un champ magnétique et soumis à des ondes de radiofréquence.
Durée d'examen : 10 à 20min
L’IRM n’utilise pas de rayons X.

Scanner
Cet appareil utilise un émetteur de rayons X qui tourne autour du patient pendant quelques secondes.
Il permet de produire des images en coupe utiles au diagnostic de nombreuses maladies.
Ces images donnent beaucoup plus d’information qu’une simple radiographie.

ECHOGRAPHIE
L’échographie utilise les ultrasons. Ceux-ci sont émis par une sonde puis transmis dans les tissus de l’organisme. Ces tissus réfléchissent les ultrasons vers la sonde, ce qui permet à l’appareil de former une image de la région examinée en temps réel.
Il s’agit d’un examen indolore et non irradiant pour lequel aucune incidence négative n’a jamais été démontrée.

RADIOLOGIE GENERALE
Le passage des rayons X à travers un segment du corps permet, depuis maintenant un siècle, de créer une image de l’intérieur du corps dans le but de diagnostiquer d’éventuelles pathologies.

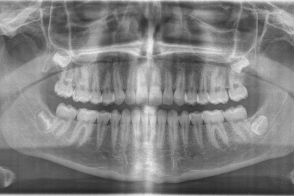
RADIOLOGIE DENTAIRE
Le panoramique dentaire ou orthopantomogramme (OPG) est une radiographie qui permet de visualiser sur un seul cliché l’ensemble des dents ainsi que leur environnement osseux et les articulations temporo-mandibulaires.

MAMMOGRAPHIE
La mammographie est un examen radiologique utilisant des rayons X à très faible dose, spécifique pour l’analyse des seins. Il peut s’agir d’une mammographie diagnostique, permettant de rechercher l’origine d’un symptôme mammaire. Il s’agit le plus souvent d’une mammographie de dépistage, effectuée sur des femmes ne ressentant aucun symptôme, pour rechercher d’éventuelles tumeurs à un stade plus facilement curable.
Au Centre de radiologie IBN ROCHD, nous comprenons l’importance cruciale d’un diagnostic précis et rapide. C’est pourquoi nous avons constitué une équipe de radiologues qualifiés et expérimentés, soutenue par une équipe mixte de techniciens et utilisant des équipements à la fine pointe de la technologie.


Nous sommes fiers de vous accueillir dans le centre de radiologie IBN ROCHD, où nous nous engageons à fournir des services de radiologie de haute qualité et à offrir le meilleur service à notre patientèle.
Un service ouvert avec des démarches rapides et efficaces.


1: Accueil
Un accueil personnalisé avec enregistrement de vos coordonnées et de vos examens.
2: Examen
Vous serez orienter vers votre salle d'examen pour la préparation et la réalisation de votre examen radiologique.
3: Remise des résultats
Votre examen sera interprété par un radiologue expérimenté et vous recevrez vos résultats dans les plus brefs délais (soit dans la même journée soit au maximum dans les 24h).
Nous vous accueillons dans un environnement confortable et moderne.
Nos radiologues expérimentés sont dédiés à fournir des diagnostics précis.
Nous utilisons les dernières technologies pour garantir la qualité des examens.

Téléphone : 05 36 68 21 95
Urgences : 06 61 36 19 36
Mail : radiologie.centeribnrochd@gmail.com
Adresse : 15 rue Ibn Rochd Oujda
Nous avons besoin de votre consentement pour charger les traductions
Nous utilisons un service tiers pour traduire le contenu du site web qui peut collecter des données sur votre activité. Veuillez consulter les détails dans la politique de confidentialité et accepter le service pour voir les traductions.